7 Brown Square, Newburyport, MA 01950
(978) 462-4590

Call Us Today!

(978) 462-4590
7 Brown Square
Newburyport, MA 01950
Dentist in Newburyport

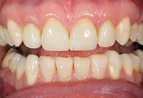
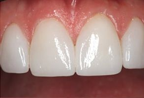
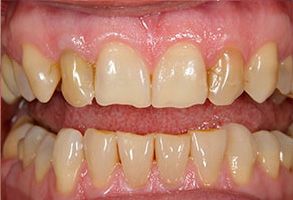
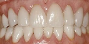
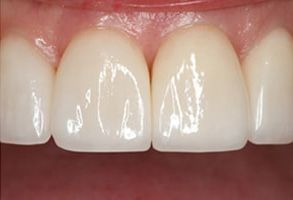
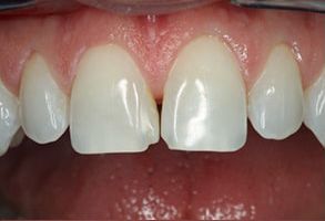
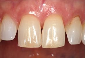
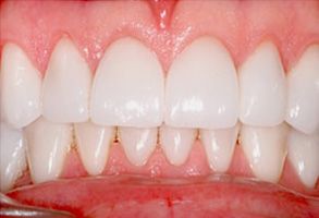
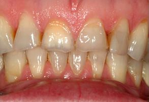
Dentistry Before and After Photos

Scroll over image to see before and after.

Dentist in Newburyport

Before

Dentist in Newburyport

After

Dentist in Newburyport

Before

Dentist in Newburyport

After

Dentist in Newburyport

Before

Dentist in Newburyport

After

Dentist in Newburyport

Before

Dentist in Newburyport

After

Dentist in Newburyport

Before

Dentist in Newburyport

After

Dentist in Newburyport

Before

Dentist in Newburyport

After

Dentist in Newburyport

Before

Dentist in Newburyport

After

Contact Us

We would be happy to answer any questions you have. Just fill out the contact form below and we'll get back to you as soon as possible.

Submit

Thank You!

We appreciate you taking the time to visit our site. We'll review your message and be in touch with you soon.

Continue

Contact Us

7 Brown Square
Newburyport, MA 01950